DJ the Dachshund's Dodgy Leg

$4,964 raised

From 12 Donations
TARGET $6,000

Please support this cause

AUD
$
Raising funds for: Joan Larkins
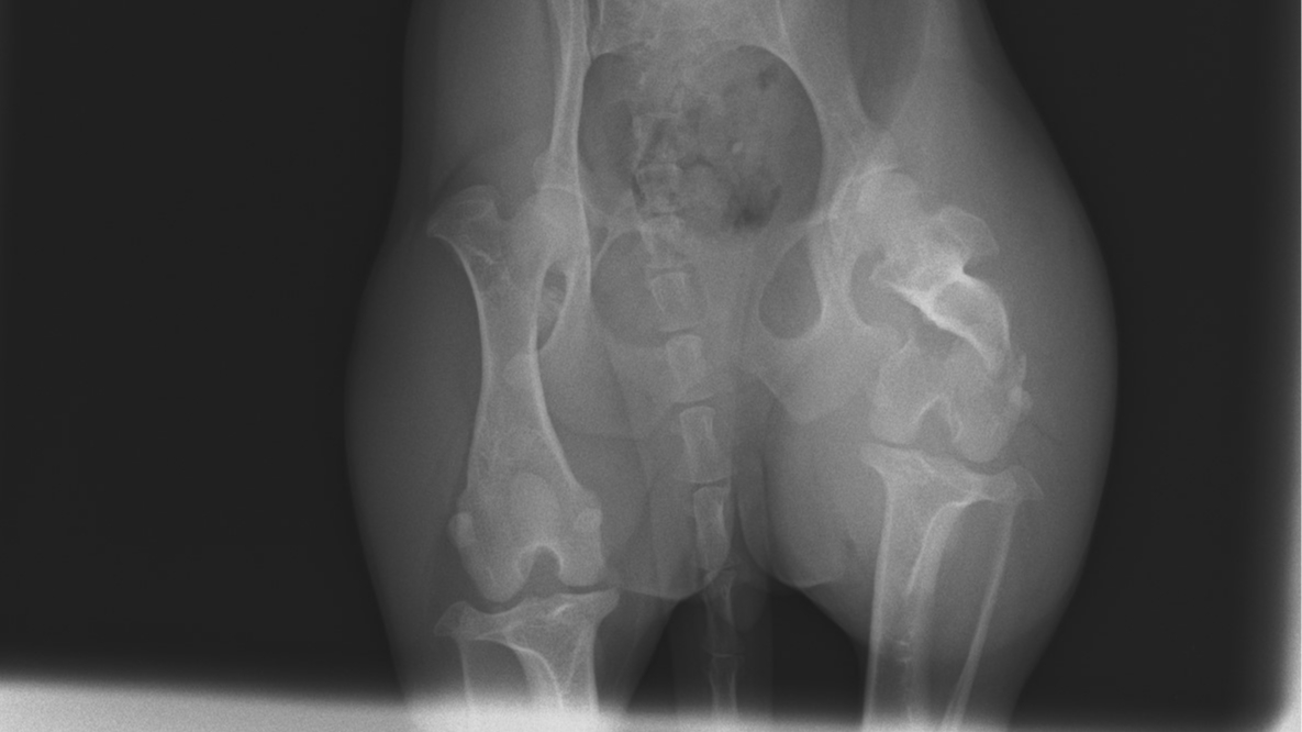
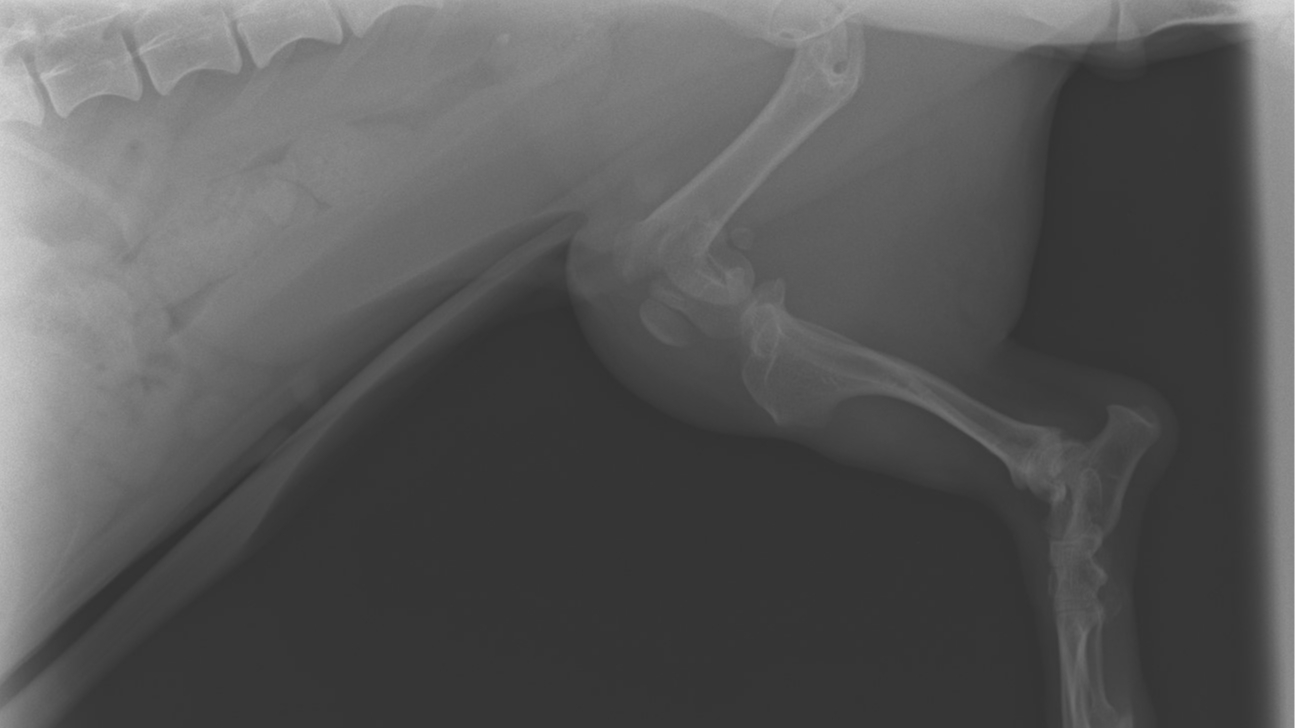
DJ the sausage dog has gotten into an accident and has broken a leg. Het owner is unable to pay for her vet fees to fix it, so she's been taken into the care of Wiener Crew Rescue. The funds raised by you wonderful people will go directly to DJ's vet bill which has been quoted at $6000 We're only a small rescue, and need the help of others in cases like this. We'll share DJ's recovery journey as much as we can. Thank you so much for donating, and please share!
Update
23 Jul 2025
On Monday we reached our goal. I will update the fundraiser asap with off-line donations. We were contacted by the Newcastle Hearld who today have put us on the front page which is amazing coverage and will help even more Dashies. Again Thank you all. DJ is resting and I will continue to post updates about her progress on facebook
Update
19 Jul 2025
DJ arrived last night. She is friendly and we now have her on crate rest for the weekend. Its all hands on deck at Wiener Crew Rescue as we set up fundraising and we are even having a market in our garage at home. If you are near East Maitland NSW 2323 check out our Facebook event
DONATIONS12
Mycause Logo
trudi.alexander@hotmail.com
Mon, 21 Jul 2025
$ 50
All the best with your recovery DJ
All the best with your recovery DJ
$ 50
Mycause Logo
Liz Edminson
Sun, 20 Jul 2025
$ 50
All the best for DJ
All the best for DJ
$ 50
Mycause Logo
ravinder lilly
Sun, 20 Jul 2025
$ 100
Kisses darling DJ
Kisses darling DJ
$ 100
Mycause Logo
Deb S
Sun, 20 Jul 2025
$ 50
Have a speedy recovery DJ
Have a speedy recovery DJ
$ 50
Mycause Logo
Chloe Hull
Sun, 20 Jul 2025
$ 20
All the best DJ
All the best DJ
$ 20
Mycause Logo
Jacinta H
Sat, 19 Jul 2025
$ 20
$ 20
Mycause Logo
Debbie Ingold
Fri, 18 Jul 2025
$ 50
Wishing for a speedy recovery.
Wishing for a speedy recovery.
$ 50
Mycause Logo
Kim Pickin
Fri, 18 Jul 2025
$ 50
$ 50
Mycause Logo
Anna Palmer
Fri, 18 Jul 2025
$ 20
Heal up quickly little one!
Heal up quickly little one!
$ 20
Mycause Logo
Hannah ORiordan
Fri, 18 Jul 2025
$ 4
$ 4
RAISING FUNDS FOR
Joan Larkins
FUNDS BANKED TO:Joan Larkins

Campaign Creator
JL
Joan Larkins
East Maitland, NSW
Created Jul 2025

$4,964 raised

From 12 Donations
TARGET $6,000

Please support this cause

AUD
$
RAISING FUNDS FOR
Joan Larkins
FUNDS BANKED TO:Joan Larkins
Campaign Creator
JL
Joan Larkins
East Maitland, NSW
Created Jul 2025